انواع کامپوزیت دندان، مزایا و معایب آن را بشناسید
منبع: https://rasanika.com
کامپوزیت دندان یک مادهی خمیری شکل است که برای زیبایی و ترمیم دندانها استفاده میشود. این ماده روی سطح دندان قرار گرفته و با نور مخصوص سفت میشود. کامپوزیت علاوه بر بهبود ظاهر دندانها، برای ترمیم شکستگیها و پوسیدگیهای جزئی نیز کاربرد دارد. از آنجا که کامپوزیت به رنگ دندانها است، نتیجهای طبیعی و زیبا به دست میدهد. این روش به دلیل سرعت انجام و هزینه نسبتاً مناسب، یکی از گزینههای محبوب برای کسانی است که به دنبال اصلاح ظاهر دندانهای خود هستند. کامپوزیت دندان همچنین برای پر کردن فواصل بین دندانها، تغییر شکل دندانها یا ترمیم دندانهای آسیبدیده به کار میرود.
زیبایی لبخند نقش مهمی در افزایش اعتمادبهنفس و بهبود روابط اجتماعی دارد و کامپوزیت دندان بهعنوان یکی از روشهای پرطرفدار در دندانپزشکی زیبایی، راهکاری مؤثر برای اصلاح نواقص ظاهری دندانها محسوب میشود. این روش با استفاده از مواد خمیری همرنگ دندان، به اصلاح شکستگیها، تغییر رنگ، فرمدهی و بستن فاصله بین دندانها کمک میکند. کامپوزیتها به دلیل هزینه مقرونبهصرفه، فرآیند سریع و نتایج طبیعی، طرفداران زیادی دارند. با پیشرفت تکنولوژی، برندهای معتبر جهانی محصولاتی با استحکام بالا، قابلیت پالیشپذیری و تطابق رنگ عالی تولید کردهاند که دوام و زیبایی را بهطور همزمان فراهم میکنند. موفقیت این درمان به انتخاب صحیح مواد و مهارت دندانپزشک بستگی دارد. رعایت مراقبتهای پس از درمان نیز تأثیر زیادی در ماندگاری و حفظ زیبایی کامپوزیت دندان دارد.
کامپوزیت دندان چیست؟
کامپوزیت دندان (به انگلیسی: composite bonding) یک روش پرطرفدار در دندانپزشکی زیبایی برای ترمیم دندان است که برای اصلاح مشکلات ظاهری دندان مانند شکستگی، تغییر رنگ، لبپریدگی، فاصله بین دندانها و بهبود فرم آنها استفاده میشود. این روش از مادهای خمیریشکل به نام رزین کامپوزیت ساخته شده که پس از قرارگیری روی دندان، با استفاده از نور مخصوص (لایت کیور) سفت و محکم میشود. از مزایای کامپوزیت دندان میتوان به هزینه مقرونبهصرفه، سرعت انجام درمان و عدم نیاز به تراش زیاد دندان اشاره کرد. همچنین مواد کامپوزیتی با رنگهای متنوع به دندانپزشک اجازه میدهند تا ظاهری طبیعی و هماهنگ با سایر دندانها ایجاد کند. ماندگاری این روش به کیفیت مواد، مهارت دندانپزشک و رعایت بهداشت دهان و دندان بستگی دارد. پرهیز از مصرف بیشازحد مواد غذایی رنگی و گاز زدن مواد سخت، نقش مهمی در حفظ زیبایی و دوام کامپوزیت دارند. این روش یک راهکار مؤثر و سریع برای داشتن لبخندی زیبا و اعتمادبهنفس بیشتر است.
متن انگلیسی:
Dental composites, or resin-based composites, are synthetic materials that combine polymeric matrix with a dispersion of glass, mineral, or resin filler particles and/or short fibers by coupling agents. Just like dental amalgam, they are used to restore tooth structure lost through trauma, caries, or other diseases.
ترجمه فارسی:
کامپوزیتهای دندانی، یا کامپوزیتهای مبتنی بر رزین، مواد مصنوعی هستند که ترکیبی از ماتریکس پلیمری با ذرات پرکننده شیشه، مواد معدنی یا رزین و یا الیاف کوتاه با استفاده از عوامل اتصالدهنده هستند. مانند آمالگام دندانی، این مواد برای بازسازی ساختار دندان که در اثر ضربه، پوسیدگی یا سایر بیماریها از بین رفته است، استفاده میشوند.به نقل از sciencedirect
کاربردهای کامپوزیت دندان
کامپوزیت دندان یکی از روشهای پرطرفدار در دندانپزشکی ترمیمی و زیبایی است که برای بهبود ظاهر و عملکرد دندانها به کار میرود. این روش به دلیل انعطافپذیری بالا، هزینه مقرونبهصرفه و نتایج سریع، محبوبیت زیادی دارد. مواد کامپوزیتی بهخوبی با رنگ طبیعی دندانها هماهنگ میشوند و ظاهری طبیعی و زیبا به لبخند فرد میبخشند. در ادامه به مهمترین کاربردهای کامپوزیت دندان اشاره میشود:
پر کردن حفرههای دندانی ناشی از پوسیدگی
ترمیم دندانهای شکسته یا ترکخورده
اصلاح فرم و شکل دندانها
رفع فاصله بین دندانها
اصلاح رنگ دندانها
ترمیم ساییدگی دندانها
زیباسازی دندانهای جلو
اصلاح دندانهای نیش و کامپوزیت دندان خرگوشی
جایگزین روکشهای قدیمی و نامناسب
سفید کردن دندانها
اصلاح طرح لبخند
هرکدام از این کاربردها میتوانند بسته به نیاز فرد و نظر دندانپزشک بهصورت جداگانه یا ترکیبی انجام شوند.

کامپوزیت دندان با ترمیم آسیبها و بهبود ظاهر دندانها، به حفظ سلامت دهان و ایجاد لبخندی زیبا و طبیعی کمک میکند.
انواع کامپوزیت دندان
انواع کامپوزیت دندان بر اساس ساختار، کاربرد و ویژگیهای فنی به دستههای مختلفی تقسیم میشوند. هر نوع کامپوزیت ویژگیهای خاصی مانند استحکام، شفافیت، مقاومت در برابر سایش و قابلیت همپوشانی با رنگ طبیعی دندان دارد. انتخاب نوع کامپوزیت دندان به نیازهای فردی، محل درمان و خواستههای زیباییشناسی بیمار بستگی دارد. در این مقاله به بررسی انواع مختلف کامپوزیت دندان، کاربردهای آنها و مزایای هر کدام خواهیم پرداخت تا به شما کمک کنیم انتخاب بهتری برای درمان دندانهای خود داشته باشید.
1- روکش های سرامیکی یا پرسلن
روکشهای سرامیکی یا پرسلن از مواد سرامیکی باکیفیت ساخته میشوند که استحکام و مقاومت بسیار بالایی دارند. این نوع کامپوزیتها برای روکش کامل دندانها، بهویژه دندانهای آسیبدیده یا شکسته، استفاده میشوند و ظاهری بسیار طبیعی و شفاف به دندانها میبخشند.
2- رزین کامپوزیت
رزین کامپوزیت نوعی ماده ترمیمی است که به دلیل انعطافپذیری بالا و قابلیت فرمدهی، برای ترمیم و زیبایی دندانها استفاده میشود. این نوع کامپوزیت معمولاً برای اصلاح نواقص جزئی دندان مانند لبپریدگی، فاصله بین دندانها یا تغییر رنگ کاربرد دارد.
3- کامپوزیت های IPS
کامپوزیت IPS از مواد سرامیکی پیشرفته و با فناوری بالا ساخته میشود و به دلیل مقاومت، ماندگاری و ظاهری بسیار طبیعی، در ترمیم و زیبایی دندانها کاربرد گستردهای دارد. این نوع کامپوزیت معمولاً برای لمینتهای سرامیکی و روکشهای دندانی استفاده میشود و به دلیل پالیشپذیری عالی، درخشندگی و تطابق رنگ بسیار خوبی با دندانهای طبیعی دارند.
4- کامپوزیت میکروفیل
کامپوزیت میکروفیل دارای ذرات بسیار ریز است که باعث ایجاد سطحی صاف و براق میشود. این نوع کامپوزیت بیشتر برای دندانهای جلو استفاده میشود و به دلیل پالیشپذیری بالا، ظاهری طبیعی و درخشان به دندانها میدهد. با این حال، مقاومت آن در برابر فشار کمتر از سایر انواع است.
5- کامپوزیت ماکروفیل
کامپوزیت ماکروفیل دارای ذرات درشتتر است و مقاومت بالایی در برابر فشار و سایش دارد. این نوع کامپوزیت بیشتر برای دندانهای خلفی که تحت فشار بیشتری هستند، استفاده میشود. بااینحال، به دلیل اندازه درشت ذرات، پالیشپذیری کمتری دارد و ممکن است سطح آن کمی زبر به نظر برسد.
6- کامپوزیت نانوفیل
کامپوزیت نانوفیل ترکیبی از ذرات بسیار ریز و نانو است که باعث ایجاد تعادل بین استحکام و زیبایی میشود. این نوع کامپوزیت برای هر دو ناحیه قدامی و خلفی مناسب است و علاوه بر مقاومت بالا، پالیشپذیری فوقالعادهای نیز دارد.
7- کامپوزیت هیبریدی
کامپوزیت هیبریدی از ترکیب ذرات درشت و ریز ساخته شده است. این ویژگی باعث شده تا این نوع کامپوزیت هم مقاومت بالایی داشته باشد و هم زیبایی قابلقبولی ارائه دهد. کامپوزیت هیبریدی برای ترمیمهای وسیع و نواحی تحت فشار زیاد مانند دندانهای آسیاب مناسب است.
8- کامپوزیت نانوهیبرید
کامپوزیت نانوهیبرید ترکیبی از ذرات نانو و هیبرید است که به تعادل بین استحکام، زیبایی و دوام معروف است. این نوع کامپوزیت برای هر دو ناحیه قدامی و خلفی استفاده میشود و علاوه بر ظاهر طبیعی، دوام بالایی در برابر سایش و فشار دارد.
9- کامپوزیت فلو
کامپوزیت فلو به دلیل قوام نرم و روان خود، برای پر کردن حفرههای کوچک و فضاهای باریک مناسب است. این نوع کامپوزیت بهراحتی به نواحی موردنظر هدایت شده و به دلیل انعطافپذیری بالا، برای ترمیمهای ظریف و نواحی با دسترسی سخت کاربرد دارد.
10. ونیر کامپوزیت دندان
کامپوزیت ونیز یک پوشش نازک از مواد رزینی است که به سطح جلویی دندانها چسبانده میشود تا ظاهر دندانها را بهبود بخشد. این روش برای اصلاح مشکلاتی مانند ترکها، شکستگیها، تغییر رنگ یا فاصلههای غیرعادی بین دندانها استفاده میشود. ونیرهای کامپوزیت به دلیل قابلیت شکلدهی به آسانی، هزینه کمتر و نیاز به تراشیدگی کمتر دندانها نسبت به ونیرهای سرامیکی، انتخاب محبوبی برای بسیاری از بیماران است. این روش معمولاً به سرعت انجام میشود و نیاز به حداقل تراشیدن دندان دارد، اما ممکن است به اندازه ونیرهای سرامیکی از دوام و استحکام بالایی برخوردار نباشد.
تفاوت بین ونیرهای کامپوزیتی و پرسلن در چیست؟
تفاوت بین ونیرهای کامپوزیتی و پرسلن در موادی که از آن ساخته میشوند، دوام، ظاهر، هزینه و روش نصب است. ونیر کامپوزیتی از رزین ساخته شده و معمولاً در یک جلسه، با تراش کمتر و هزینه مقرونبهصرفهتر انجام میشود، اما در برابر لکهپذیری و تغییر رنگ حساستر است و دوام کمتری دارد (حدود ۵ تا ۷ سال). در مقابل، ونیر پرسلن از سرامیک ساخته میشود، به تراش بیشتری نیاز دارد و معمولاً در چند جلسه آماده میشود. این ونیرها ظاهری شفافتر، طبیعیتر و مقاومتر دارند و تا ۱۰ تا ۱۵ سال یا بیشتر دوام میآورند. بهطورکلی، اگر دوام و زیبایی طولانیمدت اولویت شماست، ونیر پرسلن گزینه بهتری است؛ اما اگر به دنبال روشی سریعتر و اقتصادیتر هستید، ونیر کامپوزیتی انتخاب مناسبی خواهد بود.
بهترین برند کامپوزیت دندان کدام است؟
بهترین برند کامپوزیت دندان به عوامل مختلفی مانند نوع درمان (ترمیمی یا زیبایی)، محل استفاده (دندانهای جلو یا عقب)، مهارت دندانپزشک و بودجه بیمار بستگی دارد. با این حال، برخی برندها به دلیل کیفیت بالا، دوام و قابلیتهای زیبایی برتر، در میان دندانپزشکان بسیار محبوب هستند.
ایوکلار ویوادنت (Ivoclar Vivadent): معروف به تولید کامپوزیتهای نانوهیبرید با استحکام و پالیشپذیری عالی که برای دندانهای جلو و عقب مناسب است.
بیسکو (Bisco): برند آمریکایی که کامپوزیتهایی با استحکام بالا و سازگار با بافت دهان تولید میکند.
توکویاما (Tokuyama): برند ژاپنی با مواد پیشرفته که به دلیل تنوع رنگی بالا و مقاومت در برابر لکهپذیری شهرت دارد.
کولتن (Coltene): برند سوئیسی که کامپوزیتهایی با قابلیت فرمدهی آسان و ظاهری طبیعی تولید میکند.
سارمکو (Saremco): برند دیگری از سوئیس که به دلیل دوام بالا و مقاومت در برابر فشار، انتخاب مناسبی برای ترمیمهای بادوام است.
هر یک از این برندها ویژگیها و کاربردهای خاص خود را دارند و انتخاب بهترین گزینه باید با توجه به شرایط دندان بیمار و نظر دندانپزشک متخصص انجام شود.
مراحل کامپوزیت دندان چگونه است؟
مراحل کامپوزیت دندان تنها به چسباندن مواد روی دندانها ختم نمیشود، بلکه مجموعهای از اقدامات تخصصی و دقیق را شامل میشود که از آمادهسازی اولیه دندانها تا فرمدهی و پالیش نهایی را در بر میگیرد. هرکدام از این مراحل نیازمند دقت بالا، مهارت دندانپزشک و استفاده از مواد باکیفیت هستند.
درک صحیح از مراحل انجام کامپوزیت میتواند به بیماران کمک کند تا با آگاهی بیشتری وارد این فرآیند شوند و انتظارات واقعبینانهای از نتایج داشته باشند. در ادامه، مراحل گامبهگام کامپوزیت دندان بهصورت دقیق و شفاف شرح داده خواهد شد تا هر فرد پیش از اقدام به این درمان، درک درستی از فرآیند پیش رو داشته باشد.
مرحله | توضیحات |
۱. معاینه و مشاوره اولیه | دندانپزشک وضعیت دندانها را بررسی کرده و انتظارات بیمار را ارزیابی میکند. |
۲. آمادهسازی سطح دندان | تمیز کردن و در صورت نیاز، تراش جزئی سطح دندان برای آمادهسازی. |
۳. انتخاب رنگ مناسب کامپوزیت | رنگ کامپوزیت متناسب با رنگ طبیعی دندانها انتخاب میشود. |
۴. قرار دادن مواد کامپوزیت | مواد کامپوزیتی بهصورت لایهبهلایه روی سطح دندان قرار میگیرد. |
۵. تاباندن نور مخصوص (لایت کیور) | هر لایه با تابش نور آبی مخصوص سفت و محکم میشود. |
۶. فرمدهی و شکلدهی نهایی | دندانپزشک فرم نهایی دندان را با ابزارهای مخصوص ایجاد میکند. |
۷. پالیش و صیقل کاری | دندانها پولیش میشوند تا سطحی صاف و طبیعی به دست آید. |
۸. بررسی نهایی و تنظیم بایت | دندانپزشک بایت (جفت شدن دندانها) را بررسی و تنظیم میکن |
مراحل کامپوزیت دندان
هر یک از این مراحل به دقت، تخصص دندانپزشک و کیفیت مواد مورداستفاده بستگی دارد. رعایت اصول مراقبتی پس از انجام کامپوزیت، تأثیر قابلتوجهی در ماندگاری و زیبایی نهایی خواهد داشت
کاندیدای مناسب کامپوزیت چه کسانی هستند؟
نکته مهم در خصوص کامپوزیت دندان، انتخاب کاندیدای مناسب برای انجام این کار است. در کل این تکنیک یک روش درمانی و زیبایی برای افرادی است که مشکلاتی جزئی دارند. این افراد در کل از سلامت عمومی دهان و لثه برخوردارند و دندانهای بهشدت پوسیده، شکسته و خراب ندارند. عفونت لثه هم در کاندیداهای دریافت ونیر کامپوزیت نباید وجود داشته باشد. همانطور که اشاره شد، این روش برای ترمیم جزئی دندان مثل شکستگیهای کوچک، برطرفکردن لکه و زرد شدن دندان، پرکردن دندان، کاهش فاصله بیین دندانها، ترمیم ساییدگی دندان و مواردی از این دست انجام میشود. اگر هر یک از این شرایط را دارید، میتوانید کاندیدای خوبی برای استفاده از این تکنیک باشید.
چه کسانی نباید کامپوزیت کنند؟
بسیاری از افراد بدون در نظر گرفتن شرایط دندانی و بهداشت دهان خود، اقدام به انجام کامپوزیت میکنند که این مسئله میتواند به شکست درمان و حتی آسیب به دندانها منجر شود. درواقع کامپوزیت دندان مانند هر درمان زیبایی دیگری نیاز به شرایط خاصی دارد و برخی افراد کاندید مناسبی برای آن نیستند. افراد زیر گزینه مناسبی برای انجام کامپوزیت نیستند:
افرادی که بهداشت دهان را رعایت نمیکنند: احتمال پوسیدگی و التهاب لثه بعد از کامپوزیت افزایش مییابد.
افرادی که دندان قروچه دارند: باعث شکستگی یا ساییدگی کامپوزیت میشود.افرادی با بیماریهای لثه: التهاب یا بیماریهای لثه مانع موفقیت درمان میشود.
افرادی با دندانهای پوسیده یا ضعیف: کامپوزیت برای دندانهای ضعیف مناسب نیست.
افرادی با انتظارات غیرواقعبینانه: توقع نتایج غیرطبیعی منجر به نارضایتی میشود.
افرادی که سیگار میکشند یا عادات غذایی مضر دارند: کامپوزیت بهسرعت تغییر رنگ میدهد.
افرادی با مشکلات فکی یا ارتودنسی حلنشده: ابتدا باید این مشکلات درمان شوند.
فواید و مزایای کامپوزیت دندان ها
کامپوزیت دندان یکی از محبوبترین روشهای زیبایی و ترمیم دندان است که به دلیل ویژگیهای مثبت خود، مورد استقبال بسیاری از افراد قرار گرفته است:
ظاهر طبیعی: مواد کامپوزیتی دارای طیف رنگی متنوعی هستند و میتوانند بهخوبی با رنگ دندانهای طبیعی هماهنگ شوند.
هزینه مقرونبهصرفه: نسبت به لمینتهای سرامیکی، هزینه کامپوزیت دندان کمتر است و گزینه اقتصادیتری محسوب میشود. تفاوت لمینت و کامپوزیت دندان در جنس مواد، میزان تراش دندان، طول عمر و مقاومت در برابر تغییر رنگ است.
عدم نیاز به تراش زیاد دندان: در روش کامپوزیت، معمولاً ساختار طبیعی دندان به میزان بسیار کمی تراشیده میشود یا اصلاً نیاز به تراش ندارد.
قابل ترمیم بودن: در صورت لبپریدگی یا آسیب، کامپوزیت بهراحتی قابل ترمیم است و نیازی به تعویض کامل ندارد.
فرآیند سریع: نصب کامپوزیت معمولاً در یک جلسه دندانپزشکی انجام میشود و نیازی به چندین جلسه درمان ندارد.
انعطافپذیری بالا: کامپوزیت برای اصلاح ناهنجاریهای کوچک مانند شکستگی، لبپریدگی و بستن فاصله بین دندانها بسیار مناسب است.
عدم آسیب به لثه: اگر کامپوزیتها بهدرستی نصب شوند، معمولاً باعث تحریک یا آسیب به لثه نمیشوند.

7 مورد از فواید کامپوزیت دندان که باید بدانید.
عوارض و معایب کامپوزیت دندان
کامپوزیت دندان، بهعنوان یکی از روشهای محبوب برای ترمیم و زیباسازی دندانها، دارای مزایای زیادی از جمله هزینه مقرونبهصرفه، فرآیند سریع و ظاهری طبیعی است. بااینحال، این روش بدون عیب و عارضه نیست و در برخی موارد میتواند مشکلاتی را به همراه داشته باشد. این معایب و عوارض ممکن است به دلیل مواد مورداستفاده، تکنیک نادرست نصب، عدم مهارت دندانپزشک یا مراقبتهای ضعیف پس از درمان ایجاد شوند. آگاهی از این مسائل میتواند به بیماران کمک کند تا انتظارات واقعبینانهای از این درمان داشته باشند و با مراقبت صحیح، از بروز بسیاری از این مشکلات جلوگیری کنند. معایب و عوارض کامپوزیت دندان:
تغییر رنگ و لکشدن بهمرور زمان
دوام و ماندگاری کمتر نسبت به لمینت سرامیکی
حتمال لبپریدگی یا ترکخوردگی کامپوزیت
نیاز به ترمیمهای دورهای و مداوم
حساسیت به گرما و سرما پس از نصب
التهاب و عفونت لثه
پوسیدگی دندان زیر کامپوزیت در صورت نصب نادرست
ساییدگی دندانهای مقابل به دلیل تماس نادرست
ایجاد بوی بد دهان در صورت نصب غیراصولی
عدم هماهنگی رنگ مواد کامپوزیت با دندانهای طبیعی
ناهمواری و عدم یکنواختی سطح دندانها
احتمال ایجاد فاصله بین دندانها در صورت نصب غیردقیق
با مراجعه به دندانپزشک متخصص، استفاده از مواد باکیفیت و رعایت بهداشت دهان و دندان، میتوان بسیاری از این معایب و عوارض را کاهش داد و از نتایج مطلوب و ماندگار کامپوزیت دندان بهرهمند شد.

لمینت و کامپوزیت دندان از روشهای محبوب زیبایی هستند که در دوام، هزینه، میزان تراش و مقاومت در برابر تغییر رنگ با یکدیگر تفاوت دارند.
عفونت یا التهاب لثه بعد از کامپوزیت
التهاب لثه یا عفونت بعد از کامپوزیت دندان معمولاً به دلیل نصب غیراصولی کامپوزیت، رعایت نکردن بهداشت دهان و دندان یا استفاده از مواد نامرغوب رخ میدهد. اگر پولیش کامپوزیت دندان در قسمت لبهها بهدرستی انجام نشده و صاف نشوند یا به نواحی زیر لثه فشار وارد کنند، میتوانند باعث تجمع پلاکهای میکروبی و در نهایت التهاب و عفونت لثه شوند. علائمی مانند قرمزی، تورم، خونریزی لثه و بوی بد دهان ممکن است پس از کامپوزیت دندان ظاهر شوند. برای پیشگیری از این مشکل، مراجعه به دندانپزشک ماهر، استفاده از مواد باکیفیت و رعایت منظم بهداشت دهان، از جمله مسواک زدن صحیح و استفاده از نخ دندان، ضروری است. در صورت مشاهده علائم التهاب یا عفونت، باید سریعاً به دندانپزشک مراجعه شود تا از بروز مشکلات جدیتر جلوگیری گردد.
تغییر رنگ در کامپوزیت ها
تغییر رنگ در کامپوزیتها یکی از مشکلات رایج این روش ترمیم و زیبایی دندان است که بهمرور زمان و تحت تأثیر عوامل مختلفی رخ میدهد. مصرف مداوم مواد غذایی و نوشیدنیهای رنگی مانند چای، قهوه و سسهای رنگی، استفاده از دخانیات مانند سیگار و قلیان، و همچنین رعایت نکردن بهداشت دهان و دندان از مهمترین دلایل تغییر رنگ کامپوزیت هستند. ساختار رزینی و سطح متخلخل کامپوزیتها باعث میشود رنگدانهها بهراحتی جذب شوند و ظاهر آنها تغییر کند. علاوه بر این، کیفیت مواد کامپوزیتی و مهارت دندانپزشک در پرداخت و پالیش نهایی، نقش مهمی در جلوگیری از تغییر رنگ دارند. برای کاهش این مشکل، توصیه میشود بهداشت دهان و دندان بهطور منظم رعایت شود، مصرف مواد غذایی رنگی محدود گردد و کامپوزیتها بهصورت دورهای توسط دندانپزشک پالیش شوند تا درخشندگی و رنگ طبیعی آنها حفظ شود.
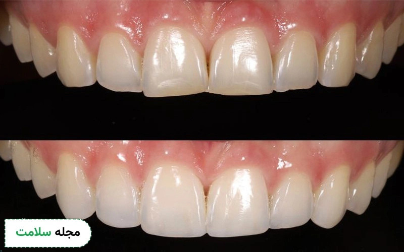
عکس کامپوزیت دندان قبل و بعد
تصویر نشاندهنده عکس کامپوزیت دندان قبل و بعد از انجام فرآیند درمانی آن است. در قسمت بالایی عکس، نواقصی مانند لبپریدگی، شکستگی جزئی و ناهماهنگی در اندازه و فرم دندانها مشاهده میشود که بر زیبایی لبخند تأثیر منفی گذاشته است. در بخش پایینی، پس از انجام کامپوزیت دندان، دندانها ظاهری یکدست، صاف و درخشان پیدا کردهاند و لبخند فرد به شکل قابلتوجهی بهبود یافته است. کامپوزیت دندان یکی از سریعترین و مؤثرترین روشهای ترمیم و زیباسازی دندانها است که علاوه بر ایجاد ظاهری طبیعی، به افزایش اعتمادبهنفس و زیبایی لبخند کمک میکند. این روش با حداقل تراش دندان و در زمان کوتاه انجام میشود و در صورت مراقبت صحیح، ماندگاری قابلقبولی خواهد داشت.

این تصویر، قبل و بعد از انجام کامپوزیت دندان را نشان میدهد که در آن لبخندی زیباتر و دندانهایی یکدست و درخشان ایجاد شده است.
مراقبت های بعد از کامپوزیت دندان
به عنوان مراقبت های بعد از کامپوزیت دندان باید در روز انجام کامپوزیت از مصرف غذاهای سفت خودداری کنید و بهجای آن مصرف غذاهای نرم و مایعات توصیه میشود. علاوه بر این باید از مصرف هر چیز داغی خودداری کنید و این نکته را حتی بعدها هم رعایت کرد. رعایت بهداشت دهان و دندان، نجویدن و گاز نزدن مواد غذایی سفت و مواردی ازایندست میتواند روی طول عمر کامپوزیت دندان و کارایی این روش تأثیر داشته باشد.
در روش کامپوزیت در واقع دندانپزشک یک دندان جدید از متریال خام برای شما میسازد. به این خاطر دقت، مهارت و ظرافت کار دندانپزشک تأثیر بسیار زیادی در نتیجه نهایی کار دارد، پس باید در انتخاب دندانپزشک برای انجام کامپوزیت دقت زیادی داشته باشید.
نتیجه گیری و راهنمای مراجعه به دکتر
کامپوزیتهای دندانی یکی از روشهای بسیار مؤثر، در دسترس و کاربردی برای ترمیم مشکلات جزئی دندانها است که میتواند به بهبود ظاهر و زیباترشدن لبخند افراد کمک کند. در این روش از انواع کامپوزیت برای دندانها استفاده میشود که باید در انتخاب آنها شرایط فرد مراجعهکننده را در نظر گرفت. روکشهای دندانی کامپوزیتی میتوانند گزینهای ایدهآل برای ترمیم فاصله دندانی، دندانهای کج و رفع تیرگی دندانها باشد. کامپوزیت دندان را باید حتما در یک کلینیک دندانپزشکی معتبر و توسط یک متخصص دندانپزشک باتجربه و ماهر انجام داد.
در روش کامپوزیت در واقع بهترین دکتر دندانپزشکی زیبایی ایران یک دندان جدید از متریال خام برای شما میسازد. به این خاطر دقت، مهارت و ظرافت کار دندانپزشک تأثیر بسیار زیادی در نتیجه نهایی کار دارد، پس باید در انتخاب دندانپزشک برای انجام کامپوزیت دقت زیادی داشته باشید.
پرسشهای متداول
برای اصلاح نامرتبی دندانها، ارتودنسی بهتر است یا کامپوزیت؟
ارتودنسی برای رفع نامرتبیهای شدید و مشکلات فک و دندان مناسب است، درحالیکه کامپوزیت برای اصلاح نواقص جزئی و بهبود ظاهر دندانها کاربرد دارد. انتخاب روش مناسب به شدت مشکل و تشخیص دندانپزشک بستگی دارد.
آیا امکان ریمو کردن کامپوزیت دندان وجود دارد؟
بله، ریمو یا برداشتن کامپوزیت دندان امکانپذیر است و توسط دندانپزشک با ابزارهای تخصصی مانند فرزهای دندانپزشکی انجام میشود. این فرآیند به دقت و مهارت بالایی نیاز دارد تا به مینای دندان آسیبی وارد نشود. دندانپزشک کامپوزیت را بهصورت لایهبهلایه جدا کرده و سپس سطح دندان را پالیش (صیقل) میدهد تا ظاهری صاف و طبیعی به دست آید. پس از ریمو کامپوزیت، ممکن است نیاز به ترمیم یا بازسازی مجدد باشد.
کامپوزیت زودتر تغییر رنگ می دهد یا لمینت؟
کامپوزیت دندان به دلیل ساختار رزینی و سطح متخلخل، بیشتر از لمینت سرامیکی مستعد جذب رنگدانههاست و در نتیجه زودتر تغییر رنگ میدهد. اما لمینت سرامیکی به دلیل سطح صاف و غیرقابل نفوذ خود، مقاومت بیشتری در برابر لکهها و تغییر رنگ دارد.
کامپوزیت طبیعی تر است یا لمینت؟
لمینت سرامیکی به دلیل شفافیت بالا، تطابق رنگ بهتر و سطح صافتر، ظاهری طبیعیتر نسبت به کامپوزیت دندان دارد. بااینحال، یک دندانپزشک ماهر میتواند با استفاده از کامپوزیتهای باکیفیت، نتایجی بسیار نزدیک به دندان طبیعی ایجاد کند.
کامپوزیت ارزان تر است یا لمینت؟
کامپوزیت دندان نسبت به لمینت سرامیکی ارزانتر است؛ زیرا فرآیند نصب آن سادهتر و مواد اولیه آن مقرونبهصرفهتر هستند. در مقابل، لمینت به دلیل دوام بیشتر، ظاهری طبیعیتر و نیاز به تجهیزات و تکنیکهای پیشرفتهتر، هزینه بالاتری دارد.
کامپوزیت مقاوم تر است یا لمینت؟
لمینت سرامیکی به دلیل جنس سرامیکی و ساختار محکمتر، مقاومت بیشتری نسبت به کامپوزیت دندان دارد و در برابر فشار، سایش و تغییر رنگ دوام بالاتری از خود نشان میدهد. در مقابل، کامپوزیتها در صورت مراقبت مناسب میتوانند عملکرد خوبی داشته باشند، اما بهاندازه لمینت مقاوم نیستند.
هر واحد کامپوزیت چند دندان است؟
هر واحد کامپوزیت دندان معمولاً برای درمان یک دندان استفاده میشود. در صورتی که نیاز به ترمیم چند دندان باشد، ممکن است از چند واحد کامپوزیت استفاده شود. برای مثال، در ترمیم دندانهای جلویی یا پرکردن دندانهای آسیبدیده، معمولاً هر دندان به طور جداگانه با کامپوزیت پر میشود، و هزینه و زمان درمان بستگی به تعداد دندانهای ترمیمی دارد.
طول عمر کامپوزیت دندان چقدر است؟
طول عمر کامپوزیت دندان به عوامل مختلفی مانند کیفیت مواد، مهارت دندانپزشک، بهداشت دهان و دندان و عادات فردی بستگی دارد. بهطور متوسط، کامپوزیتهای دندانی بین 5 تا 7 سال دوام دارند. با مراقبت مناسب، مانند مسواک زدن منظم، استفاده از نخ دندان و پرهیز از عادات مضر مانند جویدن اجسام سخت، این مدت میتواند تا 10 سال یا بیشتر افزایش یابد. معاینات منظم دندانپزشکی نیز نقش مهمی در افزایش طول عمر کامپوزیتها دارند.
ایا کامپوزیت دندان را خراب میکند؟
کامپوزیت دندان معمولاً باعث خراب شدن دندان نمیشود، اما در صورت عدم مراقبت صحیح یا استفاده نادرست، ممکن است مشکلاتی ایجاد کند. این ماده بهطور مستقیم روی سطح دندان چسبانده میشود و اگر به درستی نصب شود، میتواند به خوبی با دندان ترکیب شده و ظاهر آن را بهبود بخشد. با این حال، خوردن غذاهای سفت، عادتهای نادرست مانند دندان قروچه یا عدم رعایت بهداشت دهان و دندان میتواند باعث ترکخوردن یا فرسایش کامپوزیت شود. برای حفظ دوام آن، مراقبت منظم از دندانها و مراجعه به دندانپزشک برای بررسی وضعیت کامپوزیت ضروری است.
